Server Infos
Server:
Server IP:
Environment:
Authorized User:
cm-p115160-e1228952-aem-publish-84bd664c6f-g2dkf
172.16.122.132
publish,local

Fighting Cancer

Reading Time 1 min
April 07, 2025

One of the great hopes of cancer research is mRNA. With its help, it should be possible to fight cancer in a much more targeted way.

At the Sustainable Development Summit in 2015, the United Nations defined 17 goals that are known as the Sustainable Development Goals (SDGs). Evonik too is contributing in many different ways to supporting sustainable development. We present them here.

In order to build prosperous societies, it’s crucial that everyone can lead a healthy life and that the well-being of people of all ages is promoted. As a globally active company, Evonik wants its innovative solutions to help drive medical progress.

People’s health is improving worldwide. Nevertheless, the industry and politicians must work continuously to create fair healthcare and combat diseases. The Lipid Innovation Center at Evonik’s Tippecanoe site in the US state of Indiana, which opened in 2023, plays an important role here. Lipids produced there will serve as raw material for mRNA vaccines, which are used in cancer immunotherapies, for example.

The logo of SDG3: a pulsating line with a heart symbol on a green background.
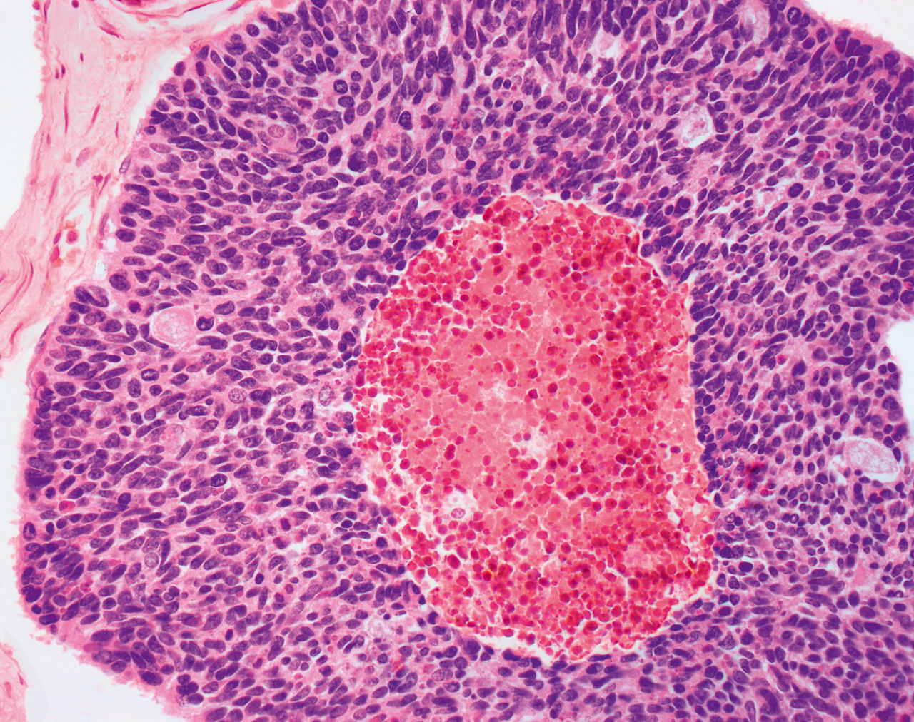
Light micrograph (LM) of a section through cancerous lung tissue showing a mixture of small and medium-sized cancer cells in a case of small cell carcinoma (SCC).
A section of lung tissue viewed under an optical microscope. It shows many small and medium-sized cancer cells; the bright red spot in the center is dying tissue. The image shows a so-called oat cell carcinoma, a type of lung cancer that is normally treated with radiotherapy and chemotherapy. As a therapeutic measure, mRNA vaccination is a beacon of hope in the fight against cancer.